|
View this email online
|
 |
|
| Volume 2 |
 |
|
|
EXPERIENCE PRECLINA
관절염 신약 개발의 Expert Pathfinder
프리클리나는 최적화된 유효성 평가 시스템을 완비하고 있어 최단기간 내에 고품질 결과를 제공해 드립니다. 당사는 학문적 연구의 뿌리 깊은 노하우를 바탕으로 지속적으로 모델 포트폴리오를 업데이트하고 있으며 최신 면역학 연구와 밀접하게 연결되어 있습니다.
|
|
|
|
|
|
 |
류마티스 관절염 유효성 약리 시험
신약 개발에 필요한 실질적인 Needs를 해결
류마티스 관절염 치료제 개발을 위해 타겟 선정 과정을 포함한 early discovery process를 도와드립니다. 신약개발 과정에서 실질적으로 필요하고 중요한 스텝이 무엇인지 정확히 알고 지원하는 경험 많은 파트너와 미래를 준비하세요.
|
|
|
Collagen-Induced Arthritis [CIA] Model
류마티스 관절염의 글로벌 Gold-Standard 모델
마우스와 랫드 CIA 모델의 품질은 시험 결과의 정확성을 결정짓는 가장 중요한 요소입니다. 류마티스 관절염과 가장 유사한 발병기전을 보이는 검증된 CIA 모델을 이용하여 고품질 유효성 평가를 서비스합니다.
Mouse CIA Model |
|
Rat CIA Model |
|
 |
|
|
|
|
 |
Patient-Derived Cell-Based Assay
신약개발 Bottleneck 해결방안 제시
기술이전 실패와 같은 late failure를 방지하기 위해 임상시험에 대한 적용 가능성을 초기 단계부터 확인하세요. 인간과 동물모델 간의 유전적, 생리학적 차이로 인한 한계를 뛰어넘기 위해 지금까지 해외 CRO 들에서만 제공되고 있었던 환자-유래 세포 기반 서비스를 만나보세요.
|
|
|
Revolutionized Platform Service
시험 품질과 속도의 조율이 아닌 최상의 조합으로
프리클리나는 CIA model과 그 시험 결과의 품질을 유지하면서 동시에 타임라인을 최소화한 혁신적 modular platform 서비스를 론칭 했습니다.
PreCIATa Platform Service |
|
PreCIATa Premium Service |
|
 |
|
|
|
|
 |
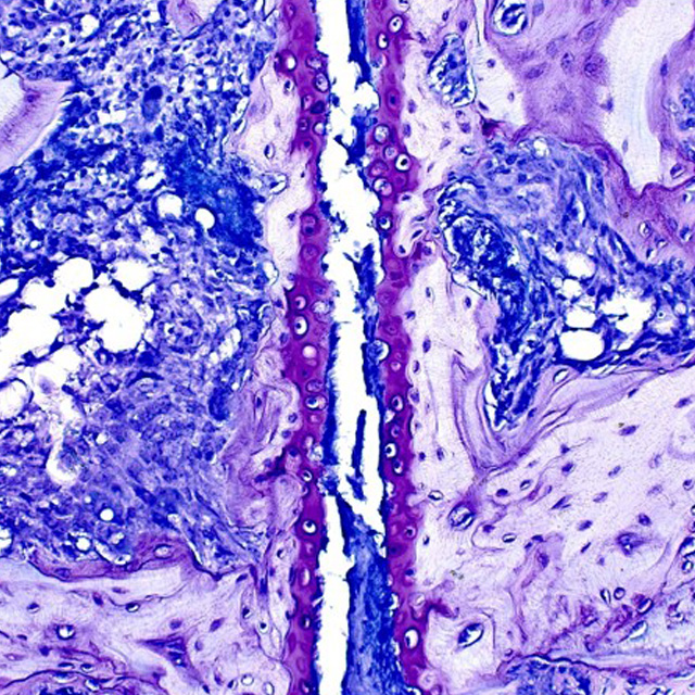
골관절염 유효성 약리 시험
일관된 in vivo 결과를 제공하는 안정성 확보
FDA에서 허가 받은 Disease Modifying Osteoarthritis Drug (DMOAD)가 없는 골관절염 치료제 시장 진입을 지원하고 있습니다. 신약개발의 핵심 타겟에 대한 후보물질의 유효성 평가 단계를 안정적으로 진행시켜 주는 재현성 높은 표준모델을 사용해 보세요.
|
|
|
|
Get in touch with us to find out more about how we can support you and your research!
Contact us
|
| Follow us |
|
HO : S-dong, IT center, Songdogwahak-ro 32, Yeonsu-gu, Incheon 21984, Korea
HO : 1st Bldg, 90 Chilgokjungang-daero 136-gil, Buk-gu, Daegu 41405, Korea
T : 1566-0536|
M : 010-2556-0536|
E : service@preclina.com|
|